Kryoablace – nová léčba rakoviny
První úspěšné ošetření inoperabilního nádoru plic s metastázou do kosti v České republice provedli lékaři na radiologickém oddělení nemocnice SurGal Clinic v Brně ve spolupráci s lékaři z Holandska. Zákrok byl proveden primářem oddělení zobrazovacích metod a intervenčním radiologem, prim. MUDr. Janem Křístkem, Ph.D. Jednalo se o pacienta, jehož situace již nebyla radikálně chirurgicky řešitelná a v úvahu připadala pouze udržovací, paliativní léčba.
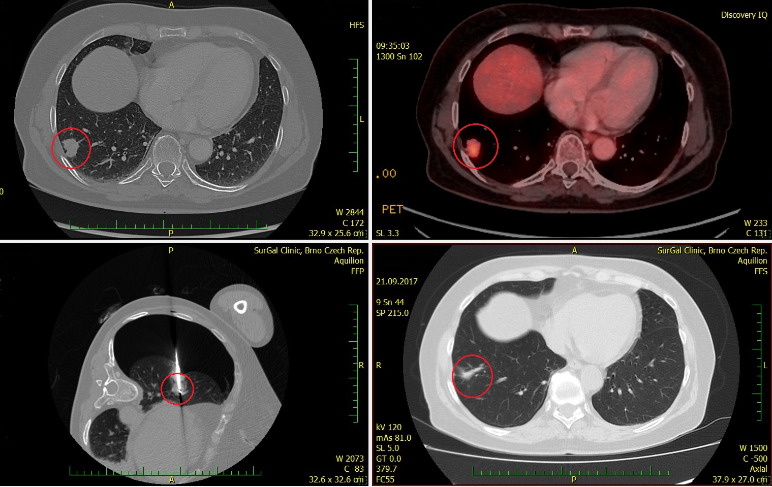
Zákrok byl proveden v červenci 2017, proběhl bez podstatných komplikací, na kontrolním vyšetření v září 2017 je patrné kompletní vymizení ošetřených ložisek primárního nádoru i metastázy (viz CT nález) a pacient je schopen normálního života. Péči hradí zdravotní pojišťovna.
Ilustrativní harmonogram léčby:
- 2/2017 záchyt onemocnění na RTG hrudníku
- 3/2017 CT a PET
- 4/2017 biopsie + histologická diagnóza, zahájena onkologická léčba
- 4.5.2017 indikační komise SurGal Clinic, vzhledem k meta postižení skeletu není indikována operační léčba, doporučena kryoablace. Požádána ZP 213 o úhradu.
- 6/2017 schválení úhrady zdravotní pojišťovnou
- 14.7.2017 zákrok kryoablace v SurGal Clinic
- 21.9.2017 kontrolní CT, SurGal Clinic, další CT plánováno na 12/2017
- Průběžně je pacientka sledována na onkologii Kroměříž, bez podstatných obtíží
Kryoablace: Novou naději na účinnou a přitom šetrnou léčbu některých typů nádorů představují tzv. ablační metody, což jsou minimálně invazivní zákroky, které by měly zničit jinak chirurgicky neoperovatelné nebo metastazující nádory, které jinak řešitelné nejsou. Používají se na léčbu malých nádorů jater, plic, ledvin a kostí, většinou v kombinaci s další systémovou terapií nebo ozařováním.
Lékař pod přesnou navigací počítačovou tomografií nebo ultrazvukem zavede vpichem přes kůži pacienta speciální jehlu (nebo více jehel) přesně do vhodného místa nádoru. Konec jehly představuje přenašeč energie z generátoru do tkáně v okolí jehly, kterou v určitém rozsahu ničí. Energie může mít formu tepla (tzv. radiofrekvenční ablace (RFA), mikrovlnná ablace (MWA), elektroporace (IRE)) anebo se zvolí opačný princip, kdy se tkáň v okolí jehly v těle pacienta zmrazí do ledové koule, která nádor prostoupí. Led přitom potrhá membrány nádorových buněk a vede k likvidaci promražené tkáně v dosahu aplikované energie. Vlastní zákrok při použití jedné jehly trvá asi čtvrt hodiny. Tento typ zákroku se nazývá kryoablace, ač ve světových centrech se již několik let tento typ ablace provádí, v ČR je zaváděn nyní nově. Podle typu zákroku je pacient v celkové anestezii, za vhodných podmínek lze provést i jen v kombinaci celkového utlumení (analgosedaci) a místního znecitlivění (lokální anestezie) a většinou stačí krátkodobá hospitalizace po zákroku, typicky jeden den. „Intervenční radiologie je rozvíjející se moderní obor s dosud plně nevyužitým potenciálem,“ doplňuje k úspěšnému zákroku prim. MUDr. Jan Křístek, Ph.D.
Tento typ intervence se zpravidla provádí na pracovišti intervenční radiologie nebo onkologické chirurgie a představuje alternativní, doplňkovou možnost léčby onkologických onemocnění v případech, kdy radikální chirurgická terapie není možná a kdy jsou splněny podmínky pro smysluplnost takového zákroku. Obvykle se o vhodnosti takové terapie rozhoduje ve specializovaných centrech v rámci specializovaných indikačních komisí. Takové indikační komise zasedají v SurGal Clinic každý 2. čtvrtek v měsíci.
Kromě kryoblace byla na pracovišti OZM SurGal Clinic jako první v České republice provedena aplikace DiscoGel a mechanická dekomprese meziobratlové ploténky. Běžně dále provádíme radiofrekvenční ablace a další zákroky v rámci fungujícího Centra pro léčbu bolestí zad. „Naše klinika si klade na cíl zpřístupňovat pacientům nejnovější metody, technologie a poznatky používané při léčbě nejčastějších onemocnění. Zavedení další progresivní metody – KRYOABLACE – je důkazem, že se nám stanovený cíl daří plnit. Kromě této metody jsme již jako první zavedli např. operaci kolene metodou Visionaire, břišní operace pomocí 3D laparoskopu, léčbu výhřezu meziobratlové ploténky pomocí DiscoGel, ozonoterapie a další,“ říká k rozšiřování poskytované péče JUDr. Jitka Kellnerová, ředitelka SurGal Clinic.
22. 11. 2017



